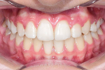
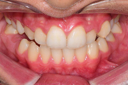
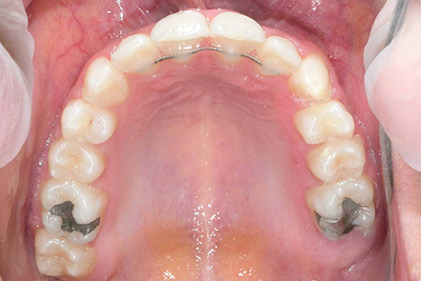
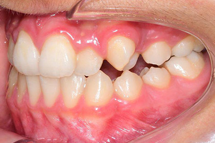
پرونده 1008

همین حالا در خبرنامه کانسپتا عضو شوید!

جهت اطلاع از آخرین اخبار و مشاهده آخرین نمونه های درمان عضو خبرنامه ما شوید