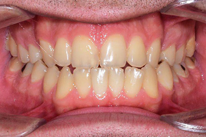
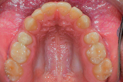
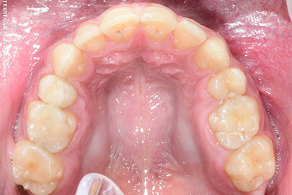
پرونده 1009 همین حالا در خبرنامه کانسپتا عضو شوید! جهت اطلاع از آخرین اخبار و مشاهده آخرین نمونه های درمان عضو خبرنامه ما شوید عضویت در خبرنامه